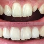
La Dra. Susana Akdash se especializa en odontología estética con 16 años de experiencia y 900 procedimientos realizados. El costo de la adhesión de composite (composite bonding) puede rondar los 215 € por diente, cubriendo típicamente la restauración y el tratamiento en el mismo día. Como implantóloga certificada, utiliza materiales Straumann; la clínica es un proveedor oficial. Los paquetes pueden incluir traslados VIP y estancias en hoteles. La Dra. Akdash se formó en soluciones de cirugía digital para obtener resultados precisos.


























