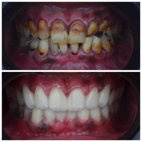
- Técnica: Coronas de circonio, paquete de 20 coronas (paquete smile makeover)
- Mohamed Omara es famoso por la gestión de cirugías avanzadas de ortodoncia y casos odontológicos esqueléticos complejos.
- Omara Dental Centers trata a pacientes internacionales de Europa, los Estados de la Liga Árabe, EE.UU., Canadá y Australia.
- Servicios incluidos: Consulta con un dentista, apartamento, escáner CT, escáner dental 3D, traslados aeropuerto-hotel-clínica-aeropuerto.
- Información sobre la estancia: 7 días de estancia en la habitación del hospital y 7 días de estancia en el hotel, incluidos en el precio.

















