El Dr. Jeongwon Youn, profesor adjunto de la Universidad de Yonsei con más de 6.000 casos de ortodoncia completados, brinda esta atención. El paquete en el proveedor oficial de Straumann® Yonsei JW Dental Clinic cuesta alrededor de $4.000 e incluye un escaneo dental 3D preciso y una consulta completa. Esta clínica, que atiende a miles de pacientes internacionales anualmente, utiliza el escaneo 3D para una planificación detallada del tratamiento.
¿Qué son los brackets y para qué sirven?
El sistema de brackets es un diseño para corregir la mordida y alinear los dientes. Consiste en un arco de ortodoncia y brackets para cada diente. Para que el arco se ajuste lo más posible a los aparatos ortopédicos, se fija con bandas de goma especiales (ligaduras) o cerraduras.
¿Qué son los sistemas de brackets?
Familiarícese con todos los tipos de aparatos ortopédicos, evalúe todos los pros y los contras para elegir la mejor opción para usted durante una consulta con un ortodoncista.
Sistemas de brackets por tipo de material:
- Tirantes metálicos. Esta es la opción de diseño más común y económica. Los tirantes se unen a los cables con ligaduras de colores, por lo que cada mes puede elegir su color a su gusto. La desventaja de tales aparatos ortopédicos es antiestética, son visibles para los demás.
- Brackets de titanio. Exteriormente, se parecen al metal, pero son más fuertes y livianos. A menudo se instalan en pacientes alérgicos al níquel. Son más caros que los brackets metálicos.
- Brackets cerámicos. Su principal ventaja es un color translúcido, por lo que se fusionan con los dientes y son más estéticos. Dichos aparatos ortopédicos son más caros que los aparatos ortopédicos metálicos y, con un cuidado deficiente, pueden oscurecerse o romperse.
- Tirantes de zafiro. Este es un diseño transparente (damon clear), que se ve estéticamente agradable en los dientes y es invisible para los demás. No mancha y es más resistente que los brackets cerámicos. La desventaja es el alto precio.
- Tirantes de plástico. Diseños incoloros más económicos que los brackets metálicos. Son hipoalergénicos y no rayan la mucosa. Al mismo tiempo, están pintados y, a menudo, se rompen. Los ortodoncistas los usan muy raramente, ya que ayudan con la maloclusión menor.
- Tirantes combinados. A menudo se instalan a partir de dos materiales. Por ejemplo, los frenos de cerámica se colocan en los dientes frontales y los frenos de metal se colocan en los dientes de masticación. Gracias a esto, la sonrisa será más estética y el paciente gastará menos dinero.
- Alineadores (Invisalign). Esta es una tapa transparente que se coloca sobre la dentición. Se usa todo el día o solo por la noche durante el sueño, según la ocasión específica. Ayudan con pequeñas irregularidades de los dientes.
Tipos de aparatos ortopédicos por tipo de fijación:
- Aparatos vestibulares (externos). Son los clásicos brackets que se fijan por fuera de los dientes. Son más baratos que los linguales y son más fáciles de ajustar y mantener.
- Brackets linguales (internos). Son estructuras metálicas que se colocan en la cara interna de los dientes. Por lo tanto, son invisibles para los demás. Contras de los aparatos ortopédicos linguales: son más caros que los aparatos ortopédicos vestibulares y son difíciles de limpiar.
Tirantes por tipo de diseño:
- Tirantes de ligadura. El arco de ortodoncia se une a los aparatos ortopédicos mediante ligaduras (bandas de goma especiales).
- Brackets sin ligadura (damon q). El arco de ortodoncia se fija con la ayuda de cerraduras que se integran en cada soporte.
¿Qué se debe hacer antes de ponerse brackets?
Primero debe hacer una cita con el dentista . Él, si es necesario, te curará la caries y la enfermedad de las encías. Después de eso, debe hacer un ortopantomograma (imagen panorámica de los dientes) para que el ortodoncista instale los sistemas de brackets con la mayor precisión posible.
Después de eso, el higienista te hará una limpieza dental profesional para que el ortodoncista pueda instalar los frenos de manera segura.
¿Cuáles son los pasos para instalar brackets?
La instalación de aparatos ortopédicos dura aproximadamente de 1 a 2 horas y consta de 4 etapas:
Etapa 1. El médico realiza una limpieza profesional de los dientes para fijar los frenos de la forma más segura posible.
Etapa 2. El ortodoncista trata la superficie de los dientes con una solución especial para limpiar y proteger el esmalte. Seca los dientes.
Etapa 3. Aplique pegamento dental a cada bracket y fíjelos a los dientes uno por uno, fije con una lámpara LED hasta que se endurezca por completo.
Etapa 4. Entre los brackets, se ensarta un arco de ortodoncia , asegurando con ligaduras o candados.
Después del proceso de instalación, es necesario visitar al ortodoncista todos los meses para ajustar el sistema de brackets, reemplazar ligaduras y alambres. El tratamiento con un sistema de brackets dura alrededor de 1-3 años para lograr el resultado deseado.
Después de quitar los frenos, el ortodoncista instala un retenedor (arco de metal delgado) en el interior de los dientes. Esto se hace para que los dientes no vuelvan a su posición original.
¿Cómo cuidar los brackets?
Después de instalar los aparatos ortopédicos, no muerda alimentos duros (por ejemplo, piruletas, nueces y palomitas de maíz); esto ayudará a evitar que se rompan los aparatos ortopédicos. Los dientes deben limpiarse a fondo con un cepillo normal y un cepillo de ortodoncia, que limpia las pequeñas partículas de comida alrededor de los frenos. Todos los meses debes visitar a un ortodoncista , quien ajustará el sistema de brackets, cambiará las ligaduras y el arco.
Bookimed Beauty es un lugar donde puedes encontrar ofertas especiales y descuentos en procedimientos estéticos, compartir tu experiencia, conocer la experiencia de otros, leer reseñas sobre clínicas y médicos.
ᐈᐈᐈ Únete al grupo de belleza Bookimed
¿Qué determina el costo de los frenos?
El precio exacto del tratamiento de ortodoncia lo determina el médico después de un examen detallado de la radiografía panorámica de sus dientes. Hemos preparado para usted una lista con los principales factores que afectan el costo de la instalación de aparatos ortopédicos.
- material del soporte. Por ejemplo, los aparatos ortopédicos de metal son más baratos que los aparatos ortopédicos de cerámica por un promedio de $ 400-600.
- Servicios adicionales médicos y no médicos. El costo total se ve afectado por diagnósticos, tratamiento de caries y enfermedad de las encías, boletos, traslado y alojamiento. Algunas clínicas dentales incluyen servicios no médicos en el precio. El coordinador médico de Bookimed te contará más sobre esto.
- País seleccionado y centro dental. El precio de la instalación de aparatos ortopédicos se debe a la peculiaridad de la fijación de precios en un estado en particular. Por ejemplo, en Polonia, el costo de instalar aparatos ortopédicos es de $ 600 y en México, de $ 1,000. Al mismo tiempo, los procedimientos en Polonia se llevan a cabo con la misma seguridad y de acuerdo con los estándares internacionales.
¿Cuál es el precio de los brackets?
Nuestros pacientes a menudo se preguntan: ¿cuánto cuesta instalar aparatos ortopédicos ? Para responder a esta pregunta, hemos preparado una tabla con los precios mínimos de la ortodoncia en diferentes países del mundo. Compruébelo para tener una idea del costo y planifique su presupuesto con anticipación.
|
Procedimiento |
Turquía |
Hungría |
Polonia |
Bulgaria |
Ucrania |
Tailandia |
México |
|
Instalación de un sistema de soporte |
|||||||
|
Instalación de brackets cerámicos. |
bajo pedido |
bajo pedido |
bajo pedido |
Precios actualizados el 04.08.2022
Para conocer un precio más específico, deje una solicitud en nuestro sitio web. El coordinador médico de Bookimed seleccionará la opción más adecuada para ti, teniendo en cuenta tu presupuesto y deseos. Nuestros servicios son gratuitos para usted.
¿Cuáles son las ofertas y descuentos especiales?
Algunas clínicas asociadas a Bookimed ofrecen descuentos para nuestros pacientes . Incluyen servicios adicionales no médicos en el costo total del tratamiento. Gracias a ello, el paciente paga menos dinero y se somete al tratamiento con la máxima comodidad. Estas ofertas especiales a menudo incluyen:
- radiografía panorámica;
- consulta de ortodoncista;
- anestesia local si es necesario;
- instalación de aparatos ortopédicos;
- traslado aeropuerto-clínica-aeropuerto;
- alojamiento en un hotel de 4-5*;
- servicios de traducción.
Por ejemplo, tales propuestas incluyen la instalación de frenos en la clínica dental AllDental en Sofía, Bulgaria. El procedimiento es realizado por la ortodoncista Joanna Toneva con más de 10 años de experiencia .
¿Qué clínicas hacen ortodoncia?
Hay más de 80 clínicas en la plataforma Bookimed donde se instala la ortodoncia. De estos, hemos identificado los TOP 5 mejores . Al compilar la calificación, se tuvo en cuenta lo siguiente:
- opiniones y valoraciones de nuestros pacientes;
- efectividad del tratamiento con aparatos ortopédicos;
- calificaciones y experiencia de los ortodoncistas;
- calidad del servicio médico;
- la velocidad de la organización del tratamiento.
Dental Bosphorus Dental and Oral Health Center en Turquía
Dental Bosphorus es una clínica dental en Estambul que se especializa en ortodoncia, odontología estética, implantología y cirugía. Cada año, el centro dental recibe más de 6.000 pacientes para su tratamiento.
25 dentistas con unos 10 años de experiencia ejercen aquí. Regularmente entrenan y mejoran sus habilidades en clínicas líderes en Europa.
Centro dental Albusdent en Polonia
Albusdent es una clínica en Cracovia que se especializa en odontología funcional y estética. Hay 11 departamentos de perfil angosto donde se realizan corrección de mordida, prótesis, extracción de dientes, blanqueamiento y carillas.
La clínica instala brackets metálicos, cerámicos, de zafiro y removibles. En promedio, el tratamiento de ortodoncia dura de 1,5 a 2 años.
Clínica dental MDental en Hungría
MDental es el centro de odontología de Budapest, donde se tratan más de 45.000 pacientes al año. Los dentistas de la clínica se especializan en corrección de mordida, instalación de implantes, carillas, coronas y cirugía maxilofacial.
MDental cuenta con 8 certificaciones de tratamientos y servicios dentales de alta calidad. La clínica cuenta con paquetes integrales de tratamiento para pacientes internacionales, que incluyen traslado, consulta, procedimiento y medicamentos.
Centro Dental Cancún en México
Clínica Dental Cancún es una clínica en Cancún que se especializa en ortodoncia, implantología, endodoncia y periodoncia. Aquí ejercen dentistas con más de 10 años de experiencia, que atienden anualmente a unos 30.000 pacientes . Los médicos de la clínica todos los años realizan una pasantía en los EE. UU., Brasil, España y otros países del mundo.
Hospital Internacional de Bumrungrad en Tailandia
Bumrungrad es un hospital multidisciplinario en Bangkok donde acuden más de 1.000.000 de pacientes cada año para recibir tratamiento. Aquí realizan corrección de mordida, instalación de implantes, prótesis, restauración y blanqueamiento de dientes.
La calidad del trato y el alto nivel del servicio médico del hospital están avalados por los certificados internacionales GHA , JCI y DAISY . Bumrungrad está incluido en las clasificaciones de las mejores y más avanzadas clínicas tecnológicamente del mundo según la revista estadounidense Newsweek.
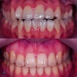
Foto antes y después de la instalación de aparatos ortopédicos.
Vea fotos de pacientes después de su transformación. Todos ellos han visitado clínicas dentales extranjeras, que también pueden ayudarte. Al instalar aparatos ortopédicos, en 1,5 años admirará dientes uniformes y hermosos, al igual que nuestros pacientes.
Advanced Dental Solutions Clínica Dental en Tijuana, México
Clínica dental WestDent en Izmir, Turquía
Reseñas de pacientes en Bookimed
Echa un vistazo a las historias reales de los pacientes de Bookimed que se pusieron aparatos ortopédicos. Todos ellos son usuarios verificados que han reservado una clínica a través de nuestra plataforma o sus acompañantes. Al mismo tiempo, llamamos su atención sobre el hecho de que publicamos críticas positivas y negativas . Por lo tanto, puede causar la impresión más objetiva de médicos y clínicas.
Usuario anónimo, Kazajistán
Instalación de ortodoncia en la clínica dental Evergreen Dental
Quiero expresar mi profunda gratitud a los médicos de la clínica, mi hija acudió a ellos sin una cita con hinchazón en la cara, sus dientes se inflamaron, los médicos brindaron asistencia calificada, ¡le deseo prosperidad y éxito a Evergreen! Muchas gracias al equipo de Bookimed por organizar el tratamiento en el extranjero, siempre tienen en cuenta las preferencias, la posibilidad de los clientes, ¡les deseo éxito!
Natalia, Estados Unidos
Tratamiento dental en la clínica dental Exclusive Dental Turquía
¡Todo salió a la perfección! ¡Maravilloso equipo atento y profesional de la clínica! Estoy muy satisfecho. Gracias.
Irina, EE. UU.
Tratamiento dental en Sani Dental Group Playa del Carmen
Agradecemos a nuestro gerente de Bookimed, Aleksey, por la solución atenta y profesional de los problemas y la organización de nuestro viaje. Estamos muy satisfechos con la clínica y planeamos continuar nuestro tratamiento en Sunny Dental Playa del Karman.
¿Es posible ponerse brackets en la edad adulta?
Los aparatos ortopédicos se pueden instalar no solo para un niño, sino también para un adulto. Los pacientes mayores necesitarán más tiempo para alinear la mordida que los niños. En este caso, el resultado será igualmente exitoso si recurres a un ortodoncista altamente calificado .
¿Necesito quitar los dientes para los frenos?
A menudo es necesario extraer las muelas del juicio antes de colocar aparatos ortopédicos, ya que violan la posición correcta de otros dientes. Si necesita cirugía, el ortodoncista le informará después de examinar la radiografía panorámica de sus dientes.
¿Cuándo comienzan a enderezarse los dientes después de los frenos?
En la mayoría de los casos, el resultado es visible después de 1,5 a 2 meses, pero para consolidar el efecto, es necesario usar aparatos ortopédicos durante aproximadamente 1 a 3 años.
¿Cuánto tiempo se tarda en instalar los frenos?
El proceso de instalación de los aparatos ortopédicos tarda entre 1 y 2 horas. Depende de la cantidad de aparatos ortopédicos que colocará el médico.
¿Cuánto tiempo duelen los dientes después de los frenos?
Es posible que le duelan los dientes durante unos 7-10 días, pero el médico le recetará un anestésico que aliviará las molestias. Después de cambiar el arco (cada 2-3 meses), algunos pacientes también experimentan dolor de muelas, según la sensibilidad individual.
¿Cuándo no puedes ponerte brackets?
Las contraindicaciones para la instalación de aparatos ortopédicos son:
- enfermedades inflamatorias en la cavidad oral;
- virus del SIDA;
- Enfermedades autoinmunes;
- enfermedades de la sangre;
- tuberculosis activa;
- diabetes;
- osteopatía y osteoporosis;
- enfermedad mental aguda.
¿Cómo puede Bookimed ayudarte a ti y a tus seres queridos?
➤ Los coordinadores médicos de Bookimed seleccionarán para ti una clínica y médicos especialistas en ortodoncia . Tendremos en cuenta los detalles del caso médico, sus necesidades y deseos. Recibirás un programa individual de trámites con un costo y podrás planificar tu presupuesto de viaje con anticipación.
➤ Bookimed es un servicio internacional para la selección de soluciones médicas y la organización de tratamientos en más de 40 países . Cada mes, nuestros coordinadores médicos ayudan a 9.000 pacientes . Nuestra misión es proporcionar a todos la solución médica necesaria y ayudar en todas las etapas: desde la elección de una clínica y la organización de un viaje hasta el regreso a casa. Nos mantenemos en contacto contigo las 24 horas del día, los 7 días de la semana para que tu camino hacia la salud sea sencillo y cómodo.
➤ Los servicios Bookimed son gratuitos para los pacientes. La selección de una solución y la organización de un viaje no afectan a la factura de su tratamiento.
Deje una solicitud para obtener una consulta de un médico coordinador de Bookimed.















